0
Skip to Content
Family Orthodontics of Lake County, P.C.
Family Orthodontics of Lake County, P.C.
Home
About Us
Services
Contact
FAQ
Insurance FAQ
Instructions
What to expect
Family Orthodontics of Lake County, P.C.
Family Orthodontics of Lake County, P.C.
Home
About Us
Services
Contact
FAQ
Insurance FAQ
Instructions
What to expect
Home
About Us
Services
Contact
Folder: FAQ
Back
Insurance FAQ
Instructions
What to expect
two tads.webp
forestadent rpe.webp
traditional rpe.webp
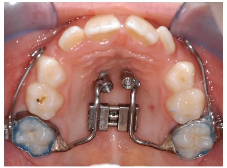
hybrid tad rpe.webp

FAMILY ORTHODONTICS OF LAKE COUNTY

 

Location

5384 Grand Ave. Gurnee, IL 60031

Contact


(847) 662-7588