0
Skip to Content
Family Orthodontics of Lake County, P.C.
Family Orthodontics of Lake County, P.C.
Home
About Us
Services
Contact
Insurance FAQ
Instructions
What to expect
Family Orthodontics of Lake County, P.C.
Family Orthodontics of Lake County, P.C.
Home
About Us
Services
Contact
Insurance FAQ
Instructions
What to expect
Home
About Us
Services
Contact
Folder: FAQ
Back
Insurance FAQ
Instructions
What to expect
When giving instructions for where to attach your rubber bands, we will refer to teeth as the 1st, 2nd, 3rd, or 4th teeth with hooks.  Notice that the incisor brackets do not have hooks at all.  The first tooth (#1) with a hook is the canine. View fullsize

When giving instructions for where to attach your rubber bands, we will refer to teeth as the 1st, 2nd, 3rd, or 4th teeth with hooks. Notice that the incisor brackets do not have hooks at all. The first tooth (#1) with a hook is the canine.

hooks+04.png View fullsize
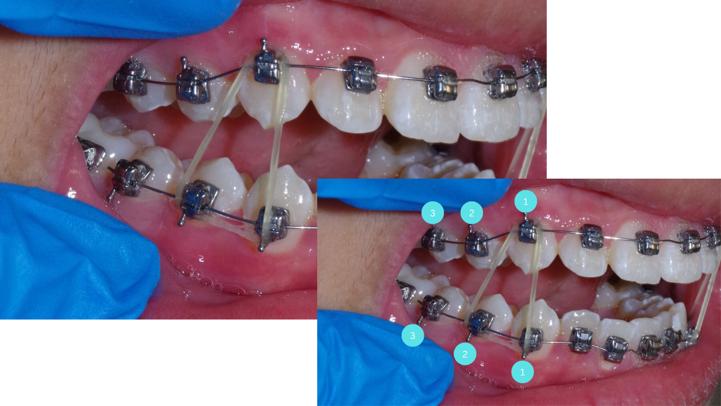
In this example, the instructions given would be "Upper right #1" to "Lower  right #1 and #2" View fullsize

In this example, the instructions given would be "Upper right #1" to "Lower right #1 and #2"

When giving instructions for where to attach your rubber bands, we will refer to teeth as the 1st, 2nd, 3rd, or 4th teeth with hooks.  Notice that the incisor brackets do not have hooks at all.  The first tooth (#1) with a hook is the canine.
hooks+04.png
In this example, the instructions given would be "Upper right #1" to "Lower  right #1 and #2"

FAMILY ORTHODONTICS OF LAKE COUNTY

 

Location

5384 Grand Ave. Gurnee, IL 60031

Contact


(847) 662-7588